Wydarzenia
Skontaktuj się z nami
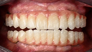
Przypadek klienta. 4D Zirconia Block.
2024-08-29
Ivaylo Dimitrov z Bułgarii
Materiały: Yucera 4D Pro Wielowarstwowy Zirkonia Disc
Odcienie: A1
2024-08-29
Ivaylo Dimitrov z Bułgarii
Materiały: Yucera 4D Pro Wielowarstwowy Zirkonia Disc
Odcienie: A1
Wyślij do nas zapytanie
ZOSTAW WIADOMOŚĆ
Oddzwonimy do ciebie wkrótce!
Twoja wiadomość musi zawierać od 20 do 3000 znaków!
Proszę sprawdzić email!
Więcej informacji ułatwia lepszą komunikację.
Zgłoszenie z powodzeniem!
Oddzwonimy do ciebie wkrótce!
ZOSTAW WIADOMOŚĆ
Oddzwonimy do ciebie wkrótce!
Twoja wiadomość musi zawierać od 20 do 3000 znaków!
Proszę sprawdzić email!